Nu har jag äntligen fått bilderna, fortfarande inget svar från SKK, de har kanske semester så vi får vänta flera veckor.
I fredags var jag på Djurdoktorn i Linköping med Helix för röntgen. Annars har vi alltid gjort allt på Valla djurklinik och det var även där Kiro röntgades av den enkla anledningen att jag just då bodde på gångavstånd därifrån. Resultatet blev ju bra den gången (Hd A Ed 0) men resten imponerade inte på mig. De gjorde en snabb allmän koll innan men sen sövdes han nästan på en gång med en spruta i pannan (???) vilket inte var så trevligt för någon av oss. Sen fick jag gå och läsa häftet från SKK medan de röntgade och fixade lite annat de skulle göra. När jag hämtade honom sa de ingenting om bilderna och när jag frågade sa de bara att det såg normalt ut. Jag har fortfarande inte sett bilderna men jag ska nog be om att få dem nu.
Iaf så ville jag få vara med lite mer när Helix röntgades och det fick jag. Det började med att vi träffade ortopeden som gjorde en ganska ingående koll av hela hunden med fokus på lederna. Han kunde inte känna något konstigt med lederna men så att han troligtvis har en liten inflammation i ett mukelfäste på insidan av höger bakben. Någon vi bör kunna lösa utan mediciner med hjälp av fysioterapeut.
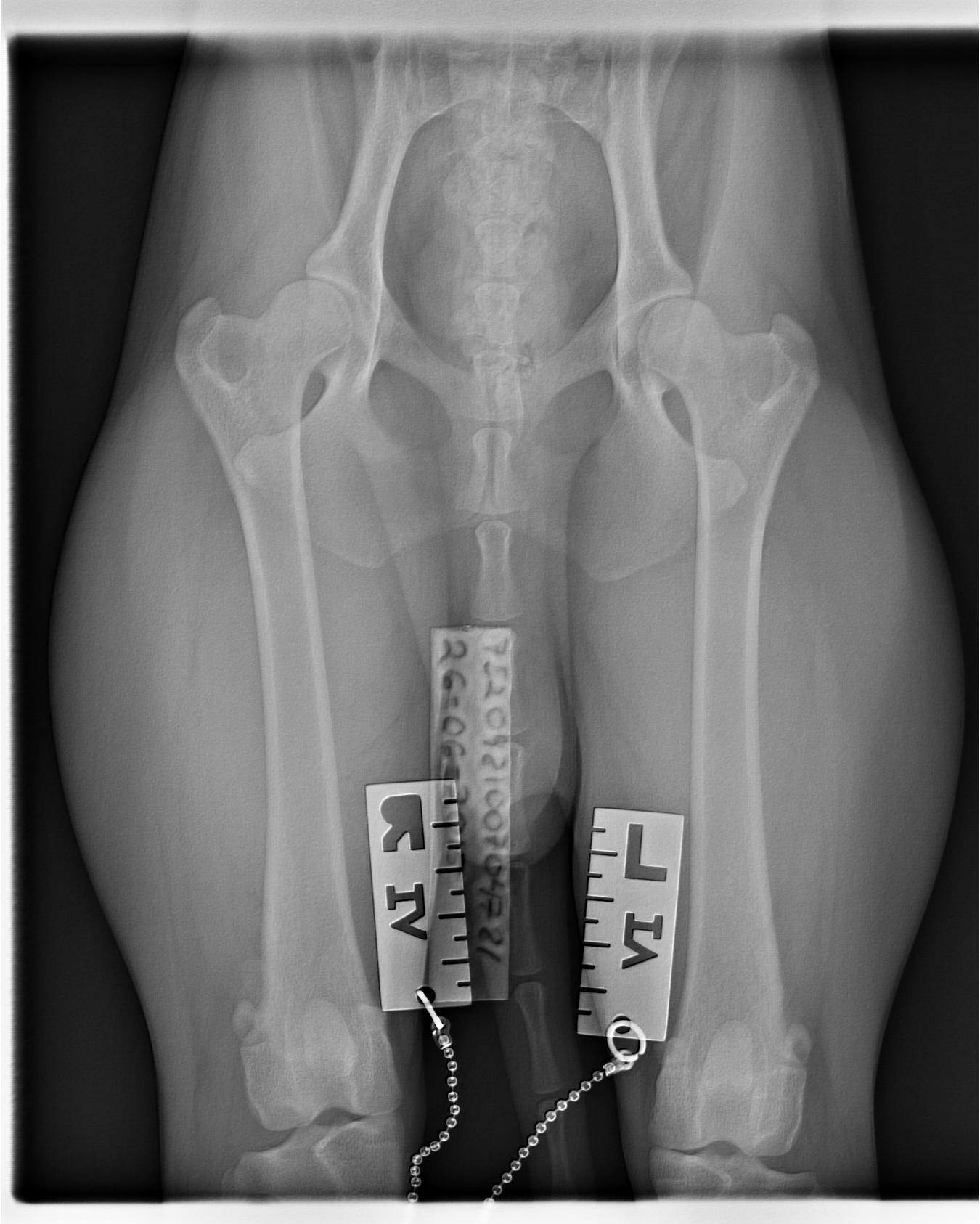
Sen sövdes han med en spruta i en muskel som han inte verkade känna och somnade mycket snabbt. Jag var med och höll i framdelen när han röntgades. Bilder togs på höfter, armbågar och rygg samt att ortopeden kände på knäna och svansen. Svansen bad jag honom känna på då den inte är helt rak i vissa lägen men han tyckte att det var så lite att det inte var något att bry sig om. Knäna var helt som de skulle så patella är UA.
När bilderna var tagna så fick Helix en uppvakningsspruta och sen gick vi och kollade på bilderna som han gick igenom väldigt noggrant. Överlag såg det helt normalt ut, något grundare skål på höger höft och en liten ”trappa” på ena armbågen, inga förändringar på leden så han trodde inte att det var något särskilt. Han kollade även på knäna på höftbilderna för att utesluta att höger knä skulle vara problem som orsakade muskelömheten men det såg helt normalt ut. Ländryggen hade rätt antal kotor och såg normal ut i övrigt.
Bilderna:

Sen satt jag med Helix tills han vaknade och sen var det bara att gå och betala. Lite drygt 2000 kr betalade jag men då hade jag 10 % rabatt på Hd/Ed röntgen eftersom jag är medlem i Fritt följ. Jag hade förväntat med runt 3000 kr men eftersom det endast blev 1 bild extra så blev det inte så mycket mer än den vanliga röntgen.
Nu får vi vänta och se vad och när SKK säger något. Muskelinflammationen får jag tyvärr inte hjälp med förrän efter semestern men det är inget som stör honom i rörelse utan mest när jag masserar.